Digital pathology will open up new ways to get more information from tissue samples. The development of specific algorithms for automated interpretation of advanced stains will facilitate the objective analysis of images. By developing advanced algorithms and data management systems, we can help you translate the ‘Big Data’ promise into knowledge. This can be an important stepping-stone towards better health management and patient outcomes.

IntelliSite puts you there
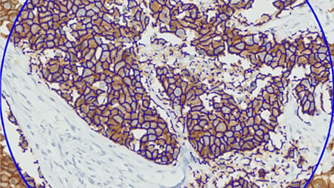
IntelliSite’s image analysis applications offer tools that provide exciting new insights for research pathologists. In addition to our advanced algorithms, the solution’s open platform has spawned the development of tools from several partners.

Create new possibilities through data mining
Digital histopathology information can be combined and analyzed with other ‘Big Data’ healthcare information such as biology and genomics data. IntelliSite's interoperability features allow partners or vendors to work with us to exchange and analyze information that will help you to gain new insights.
Philips is collaborating with Mount Sinai Health System in New York, NY to advance clinical research through the development of a new digital pathology repository and advanced analytics. By digitizing hundreds of thousands of tissue samples and combining these with related diagnostic data, treatment data, and outcome data, unique insights may enable the development of predictive analytics to help further personalize patient care for complex diseases, including cancer.

Digitize Your Workflow
Organize and review a large number of histopathology cases quickly and with ease.
Connect Your Team
Connect people and locations, so specialized histopathology resources can be shared.
Unify Patient Data
Cross functional integration and aggregated views of a patient’s clinical work-up.
IntelliSite is an automated digital pathology image creation, management and analysis system comprising an ultra-fast pathology slide scanner, an image management system and case viewer, this is complemented by advanced software tools to manage the scanning, storage, presentation, analysis, and sharing of information. IntelliSite speeds and simplifies access to histopathology information across your organization and beyond to help your staff work more efficiently. IntelliSite is the innovative pathway for the pathology world, advancing towards predictive health management, and ultimately better patient outcomes.

You are about to visit a Philips global content page
Continue