EN
AR
Small Parts Assessment

Small Parts Ultrasound

A universal platform for small parts ultrasound

 Small parts imaging is one of the fastest growing segments of ultrasound exams for clinicians around the world. Its wide array of applications includes assessing diseases and disorders of superficial organs like testicles and thyroid, as well as assessing musculoskeletal injuries like sprains and tears. 

Dr Andrew McQueen

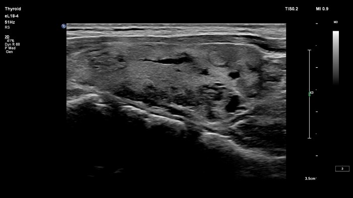
Small parts

Thyroid ultrasound with
Dr Andrew McQueen


Dr Andrew McQueen of Freeman Hospital shares his experience working with the mL26-8 and eL18-4 ultra high-frequency linear transducers for neck ultrasound.

Demonstrated results in Small Parts Ultrasound

64%

improved penetration with the mL26-8 transducer

The mL26-8 transducer offers 36% improved spatial resolution and 64% improved penetration in superficial applications [6]. 

85%

increased efficiency

The uniform crystals of PureWave transducer technology are 85% more efficient [4].

54%

reduction in number of button pushes 

NextGen AutoSCAN reduces button pushes by up to 54% with pixel-by-pixel real time optimization [3]. 

Image gallery

Epiq elite

EPIQ Elite

Philips EPIQ Elite ultrasound features an exceptional level of clinical performance, workflow, and advanced intelligence to meet the challenges of today’s most demanding practices. EPIQ shares the same workflow, interface and transducers as the Affiniti and Compact systems.

Affiniti ultrasound

Affiniti

Designed for everyday challenges, Philips Affiniti systems feature a small footprint and intuitive interface. Price-conscious organizations unwilling to compromise on quality appreciate its impressive combination of performance, workflow advances and ability to tackle your clinical needs.

Compact 5000 series

Compact 5000 Series

Designed for mobility and performance, the Compact 5000 series shares the same workflow, interface and transducers as the EPIQ and Affiniti systems. With a quick boot-up and long battery life, the system is always ready to go, so you can bring small parts ultrasound to wherever you need it.

Lumify system

Lumify

Use ultra-mobile Lumify handheld ultrasound to detect soft tissue injuries in any care setting, with high-definition imaging. SonoCT reinforces real tissue imaging while eliminating random artifacts. The entire unit fits into a small bag for easy transportation, so you can take ultrasound on the go.

We are always interested in engaging with you.

Let us know how we can help.

1
Select your area of interest
2
Contact details

Footnotes
 

[1] When comparing release 10 performance to release 7 performance. 

[2] In 84% of cases, user opinion was that, after the use of post-processing controls, a repeat scan due to unsatisfactory image quality resulting from inappropriate imaging settings was not required. Based on a sample size of n=37 users.

[3] Compared to the predecessor L15-7iO

[4] When compared to traditional piezoelectric (PZT) material in converting electrical input into acoustic output.

[5] 2014 internal workflow study comparing Affiniti to HD15

You are about to visit a Philips global content page

Continue

You are about to visit a Philips global content page

Continue

Our site can best be viewed with the latest version of Microsoft Edge, Google Chrome or Firefox.