Stay up-to-date and get informed about interesting topics. Or get in touch with our sales department.
Confirming the presence, extent, and size of lesions remains the goal of a large portion of imaging studies. These factors are essential to enabling the patient to receive appropriate treatment in a timely manner. Moreover, in the new world of personalized medicine, lesion quantification is critical to timely decisions about whether to cease or redouble specific treatment options.
The radiologist’s challenge, of course, is to make those determinations in an environment of broad variability. A clear understanding generally involves merging data from multiple imaging modalities with different acquisition parameters and varying levels of image quality. Here are some of the ways we’re making lesion detection and quantification easier.

With conventional CT, the decision of whether to perform a spectral scan can be a difficult judgment call for the radiologist. If an initial conventional scan reveals an issue, but not the root cause, additional testing may be necessary. IQon Spectral CT is the world’s first and only detector-based spectral CT that captures spectral information every time a patient is scanned, without the need for patient pre-selection. IQon delivers diagnostic certainty using multiple layers of spectral data, allowing the first exam to be the right exam. Lesions can be seen that were not identified through conventional CT. Multiple layers of spectral data, and retrospective review and analysis of scans allow for lesion identification upon the first attempt, enabling quicker treatment, while reducing cost and maintaining workflow
With conventional CT, the decision of whether to perform a spectral scan can be a difficult judgment call for the radiologist. If an initial conventional scan reveals an issue, but not the root cause, additional testing may be necessary. IQon Spectral CT is the world’s first and only detector-based spectral CT that captures spectral information every time a patient is scanned, without the need for patient pre-selection. IQon delivers diagnostic certainty using multiple layers of spectral data, allowing the first exam to be the right exam. Lesions can be seen that were not identified through conventional CT. Multiple layers of spectral data, and retrospective review and analysis of scans allow for lesion identification upon the first attempt, enabling quicker treatment, while reducing cost and maintaining workflow
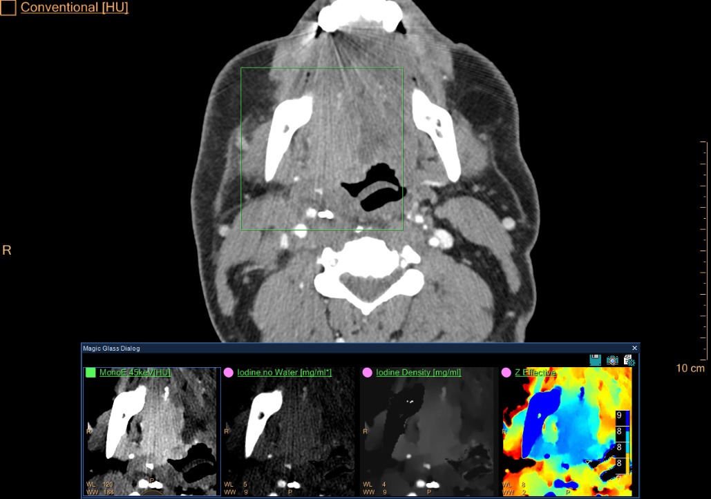
The ability to identify lesions in the neck can be difficult at times due to their location or artifacts from metal and bone. The IQon Spectral CT allows the use of multiple spectral results that can help enhance lesion visualization. IQon delivers diagnostic certainty using multiple layers of spectral data, allowing the first exam to be the right exam. In this case, a middle-aged female undergoing treatment for head and neck cancer received a follow-up scan on the IQon Spectral CT. A lesion at the base of the tongue on the right side was difficult to detect using conventional CT images only. MonoE 50 keV spectral results allowed the clinician to visualize the lesion boundaries, differentiating it from the surrounding tissue. Additional spectral results such as Z Effective, coupled with the Spectral Magic Glass feature, enabled additional layers of spectral information as well as simultaneous viewing and quick comparison of up to five different spectral results for a region of interest.
Sample images acquired in a clinical study of the Vereos PET/CT system at The Ohio State University. Investigational device limited by law to investigational use.
By using Philips 3D APT, radiologists can now make a confident diagnosis and more confidently assess the pathway and urgency of a patient’s treatment plan.
Enhanced diagnostic confidence in Neuro-oncology Establishing the diagnosis of a brain tumor is not always straightforward. MRI is the gold standard but not reliable enough for tumor follow up.1 The presence of contrast enhancement can confuse the diagnosis of malignant brain tumors, and therefore differentiating low- from high-grade gliomas can prove to be a challenge for radiologists. With three out of five radiologists finding brain tumor diagnosis “challenging” to “very challenging,” it’s evident that this is an area of unmet need; there is also a vital demand for methods that can detect response to therapy at early follow-up times.2 Philips 3D APT (Amide Proton Transfer) is a unique, contrast-free, brain MR imaging method, designed to help radiologists differentiate between low-grade and high-grade gliomas. This technology works by using the presence of endogenous cellular proteins to produce an MR signal that directly correlates with cell proliferation, a marker of tumor activity. 1 Neurology. 2002 Sep 24;59(6):947-9. 2 Cancer Manag Res. 2014; 6: 149–170.
Learn how Philips solutions help radiologists overcome obstacles to confident diagnosis. See them all:
You are about to visit a Philips global content page
Continue